Dbanie o siebie …

zaczyna się od regularnych przeglądów

Stomatologia

Walczymy o każdy ząb

STOMATOLOGIA ZACHOWAWCZA

zajmuje się zapobieganiem i leczeniem próchnicy oraz zachowaniem zdrowych dziąseł.

W naszych gabinetach wykonujemy zabiegi:

  • Wypełnienia materiałem kompozytowym światłoutwardzalnym, który nie naraża tkanki zęba na uszkodzenia,
  • Odbudowy zęba kompozytami estetycznymi ENAMEL, FILTEK, NEO SPECTRA, GENIAL oraz z wykorzystaniem włókna szklanego,
  • Lakowania bruzd zębów stałych u dzieci i młodzieży SDR,
  • Lakierowania wszystkich zębów preparatem DURAPHAT, FLUOR PROTECTOR.

ENDODONCJA

Przebieg leczenia kanałowego:

Leczenie kanałowe, czyli zaawansowana metoda leczenia endodontycznego.
Nieleczona próchnica prowadzi do stanów zapalnych kanałów zębowych lub wierzchołków korzenia, silnego bólu i może skutkować utratą zęba.

Każde leczenie endodotyczne poprzedzone jest wykonaniem zdjęcia pantomograficznego lub tomografii 3D, która pozwala zajrzeć do wnętrza zęba bez jego otwierania i zaplanować leczenie.  W naszej klinice leczenie endodontyczne przeprowadzanej jest pod mikroskopem firmy Seliga.

Po zakończenie leczenia endodontycznego proponujemy odbudowę korony zęba wzmocnioną włóknem szklanym lub metalowym wkładu korzeniowego. Przy bardzo osłabionych zębach możemy zaoferować koronę porcelanową, co poprawia wygląd estetyczny oraz pozwala zachować ząb.

PERIODONTOLOGIA

Jest to dział stomatologii poświęcony profilaktyce i leczeniu chorób przyzębia (dziąseł) oraz błony śluzowej jamy ustnej. Najczęstszą chorobą dziąseł jest parodontoza, którą można rozpoznać po występujących objawach w postaci krwawienia, obrzęków dziąseł, odsłonięciu szyjek zębów oraz nadwrażliwości na zmiany temperaturowe.  

Dolegliwości periodontologiczne, które powodują nie tylko zmiany w okolicach dziąseł, również mogą mieć wpływ na przebieg chorób, takich jak miażdżyca naczyń krwionośnych, choroby serca, choroby stawów, nerek czy choroby płuc.

Nie należy zatem lekceważyć objawów takich jak tkliwość, krwawienie, zaczerwienienie dziąseł czy nawet lekkie rozchwianie zębów.

Nie leczona parodontoza może prowadzić do poważnych stanów zapalnych dziąsła, odsłonięcia szyjki zęba, a nawet do jego utraty.

IMPLANTOLOGIA

Zabieg wszczepiania implantu

Sam zabieg wszczepienia implantu jest bezbolesny. Wykonywany jest w znieczuleniu miejscowym, pod osłona antybiotykową w gabinecie stomatologicznym. Zabieg w zależności od ilości wprowadzanych wszczepów trwa od 30 minut do 2-3 godzin. 

Prawidłowo przeprowadzony zabieg implantacji nie jest obciążający ani ryzykowny. Ze względu na konieczność przerwania ciągłości tkanek, mogą wystąpić przejściowe dolegliwości bólowe i nieznaczny obrzęk tkanek miękkich.
 
W naszej klinice oferujemy:
Wszczepienie implantu,
Porcelanową koronę na implancie.

PROFILAKTYKA STOMATOLOGICZNA

Głównym celem profilaktyki stomatologicznej jest zapobieganie chorobom  przyzębia i zębów.

W naszych gabinetach oferujemy:

  •     Skaling

Skaling  jest zabiegiem polegającym na usunięciu twardych złogów, potocznie nazywanych kamieniem, z powierzchni zębów.

  •     Piaskowanie

Piaskowanie zębów polega na usunięciu z powierzchni zębów oraz z trudno dostępnych miejsc (przestrzenie międzyzębowe, bruzdy) osadu oraz powierzchniowych przebarwień. Zabieg przeprowadza się przy pomocy piaskarki stomatologicznej, która wytwarza strumień piasku stomatologicznego, wody i powietrza pod dużym ciśnieniem. Precyzyjna końcówka piaskarki w jamie ustnej pacjenta oczyszcza wszystkie powierzchnie trudno dostępne na zębach.

  •     Polerowanie

Polerowanie zębów polega na zmniejszeniu widoczności rys i zagłębień na powierzchni zębów.

  •     Fluoryzacja

Fluoryzacja jest zabezpieczeniem zębów poprzez wzmocnienie szkliwa.                                                                

Zapraszamy na pełen PAKIET HIGIENIZACYJNY, który jest zdrową alternatywą dla wybielania, zapewniającą kompleksowe oczyszczanie zębów, rozjaśnienie zębów o 2 tony, zabezpieczenie ich przed osadzaniem się kamienia.

ORTODONCJA

Ortodoncja jest dziedziną stomatologii, która zajmuje się leczeniem i profilaktyką wad zgryzu.

 Wady zgryzu to zaburzenia w budowie i czynnościach zębów, łuków zębowych i ich wzajemnej relacji. Wady mogą być widoczne na zewnątrz (w zmienionych rysach twarzy) i zaburzać różnego rodzaju czynności jamy ustnej (m.in. utrudniać jedzenie, mówienie, oddychanie)

Kandydatami do leczenia ortodontycznego mogą być osoby, u których występuje:

  • przodozgryz górny – w którym górne przednie zęby są wysunięte za bardzo do przodu ponad zębami dolnymi
  • wysunięcie żuchwy – wygląd „buldoga”, w którym zęby dolne są wysunięte za bardzo do przodu lub zęby górne są cofnięte za bardzo
  • zgryz krzyżowy – zęby górne nie zachodzą nieco z przodu zębów dolnych przy normalnym gryzieniu
  • zgryz otwarty – wolna przestrzeń pomiędzy powierzchniami gryzącymi zębów przednich lub bocznych, gdy zęby tylne stykają się ze sobą
  •  przemieszczenie linii środkowej – środek zębów górnych przednich nie leży w jednej linii ze środkiem zębów dolnych przednich
  • szpary – przestrzenie lub odstępy pomiędzy zębami wynikające z utraty zębów lub sytuacja, w której zęby nie „wypełniają” jamy ustnej
  • stłoczenie zębów – zębów jest zbyt dużo i nie mieszczą się one w wyrostku zębodołowym (kość szczęki, w której osadzone są zęby)
  • zatrzymany ząb – ząb z zakończonym rozwojem wierzchołka, który nadal pozostaje niewyrżnięty, choć od czasu jego prawidłowego wyrżnięcia minęły dwa lata
  • brak zawiązków zębowych – po wypadnięciu zębów mlecznych nie wyrastają zęby stałe, najczęściej dotyczy to ósemek (25%), górnych „dwójek” i dolnych „piątek”.

Leczenie ortodontyczne przebiega etapami i obejmuje:

  •  konsultację polegającą na przeprowadzeniu wywiadu z pacjentem, badaniu wewnątrz i zewnątrz ustnym, wykonaniu zdjęć RTG oraz pobraniu wycisku,  
  • ustalenie planu leczenia,      
  • założenie aparatu ortodontycznego ruchomego lub stałego – w zależności od zdiagnozowanej wady zgryzu
  • regularne wizyty kontrolne co 4-6 tygodni
  • zdjęcie aparatu ortodontycznego
  •  leczenie aparatem retencyjnym, które zapewnia utrzymanie uzyskanego efektu leczenia.

CHIRURGIA STOMATOLOGICZNA I SZCZĘKOWA

Jest to dział stomatologii zajmujący się operacyjnym leczeniem schorzeń jamy ustnej, części twarzowej oraz szyi, mający na celu zachowaniu całego uzębienia. Pozwala również na przygotowanie jamy ustnej do innych zabiegów specjalistycznych w tym leczenia endodontycznego, ortodontycznego, periodontologicznego, czy wreszcie protetycznego i implantologicznegoPacjenci, którzy doznali urazu (podczas uprawiania sportu czy w trakcie zabawy), czy są ofiarami wypadku lub pobicia, często również potrzebują pomocy chirurga szczękowego.  

Przed zabiegiem z zakresu chirurgii szczękowej pacjent otrzymuje środki uspokajające, przeciwbólowe odpowiednie w danym przypadku leczenia. Wszystkie zabiegi chirurgiczne wykonywane są w znieczuleniu przy zachowaniu aseptyczności pola operacyjnego. Po leczeniu pacjent jest także otaczany szczególną opieką tak, by cały proces zakończył się sukcesem, a pacjent możliwie szybko doszedł do zdrowia.

W naszych gabinetach oferujemy Państwu:

  • Ekstrakcję (proste usunięcie) zęba ze znieczuleniem  
  • Ekstrakcję zęba metodą chirurgiczną ze znieczuleniem
  • Operacyjne usunięcie zęba zatrzymanego  
  • Resekcję wierzchołka korzenia  
  • Podcięcie wędzidełka  
  • Chirurgiczne nacięcie ropnia

WALCZYMY O KAŻDY ZĄB

W naszej klinice zawsze, gdy tylko jest na to szansa proponujemy pacjentowi leczenie prowadzące do zachowania zęba. Każdy ząb jest cenny, o każdy warto walczyć, nigdy nie wiemy jak potoczy się historia i kiedy ten właśnie ząb może okazać się np. bezcennym podparciem dla protetyki. Implanty to ogromne osiągnięcie medycyny, ale to nie to samo co nasz własny ząb lub choćby jego część.

PROTETYKA

Uzupełnienie protetyczne to nie tylko poprawa wyglądu, ale również zadbanie o ogólny stan zdrowia pacjenta, ponieważ braku w uzębieniu mogą prowadzić do chorób ogólnoustrojowych (migreny, stany zapalne przewodu pokarmowego). W naszej klinice  przygotowaliśmy szeroką ofertę różnorodnych uzupełnień protetycznych dopasowanych zarówno do potrzeb jak i możliwości finansowych naszych klientów.

W naszej klinice do odtworzenia utraconych zębów wykorzystywane są:

1. Protezy ruchome:

  • Proteza całkowita,  
  • Proteza szkieletowa,
  • Proteza całkowita natychmiastowa,  
  • Proteza wzmacniana na siatce,  
  • Proteza nylonowa,  
  • Proteza zatrzaskowa.

2. Uzupełnienia protetyczne stałe:

  • Most porcelanowy  
  • Most na metalu,  
  • Most adhezyjny.

3. Korony:

  • Korona na metalu,  
  • Korona akrylowa,  
  • Korona porcelanowa,  
  • Korona porcelanowa pełnoceramiczna  
  • Korona pełnoceramiczna na cyrkonie.

4. Protezy stosowane na implantach:

  • Korony porcelanowe,  
  • Mosty porcelanowe,

STOMATOLOGIA DZIECIĘCA

Dla rodzica:

  • Rozmowa z dzieckiem. Przed wizytą u dentysty należy koniecznie porozmawiać z dzieckiem i szczegółowo wyjaśnić mu przebieg wizyty. Dziecko odczuwa lęk przed nieznanym, więc można powiedzieć mu, że idzie z mamą na spotkanie z nowym znajomym – dentystą, który np. sprawdzi czy zęby są zdrowe.  
  • Przed wizytą nie zapewniaj swojego dziecka, że „nie ma się czego bać”. Mały człowiek zwraca uwagę na pojedyncze słowa, w tym przypadku na „bać”. Wpływa to negatywnie na jego nastawienie. Jeśli padnie pytanie o ból, nigdy nie kłam. Nawet najmniejszy dyskomfort sprawi, że dziecko poczuje się oszukane i straci zaufanie.
  • Zabawa w dentystę. Stwarzanie w domu atmosfery, że wizyta u stomatologa to coś strasznego, sprawi, że dziecko przejmie negatywne nastawienie rodziców i niepotrzebnie zacznie się bać. Jednym ze sposobów ograniczenia obaw jest wspólna zabawa w dentystę lub czytanie książeczek związanych z wizytą w gabinecie. 
  • Wybór dentysty. Przed decyzją o wyborze lekarza rodzice powinni osobiście odwiedzić gabinet i porozmawiać ze stomatologiem dziecięcym. Warto pamiętać, że przyjazny gabinet to nie tylko wystrój budzący pozytywne skojarzenia i specjalnie przygotowany kącik dla dziecka, ale przede wszystkim życzliwy personel, który potrafi odpowiednio postępować z dzieckiem w sytuacjach stresowych.
  • Wizyta adaptacyjna. Kontakt dziecka z dentystą najlepiej jest rozpocząć od wizyty kontrolnej, która pozwoli maluchowi zapoznać się z nowym miejscem. Stomatolodzy zalecają, aby miała ona miejsce nie później niż do 3. roku życia.
  • Planowanie wizyty. Najlepsza pora na wizytę u dentysty to ten moment w ciągu dnia, w którym dziecko ma zazwyczaj najlepszy humor, nie jest śpiące ani zmęczone. Dlatego warto umawiać się na konkretną godzinę. Jeżeli czas oczekiwania w kolejce się przedłuży można zainteresować dziecko książeczką lub zabawką.
  • Nagroda. Zakończeniem wizyty powinna być nagroda, np. dyplom za odwagę czy wizyta w kinie, stanowić ona będzie motywację do następnych wizyt w gabinecie stomatologicznym.

Profilaktyka próchnicy

Występowanie choroby próchnicowej wpływa na funkcjonowanie całego organizmu. Przedwczesna utrata uzębienia mlecznego u dzieci powoduje wzrost ryzyka nieprawidłowego rozwoju kości szczęki i powstawania różnego typu wad zgryzu. Zęby z próchnicą uznawane są za istotne, potencjalne źródło infekcji dla całego organizmu. Zły stan zdrowia jamy ustnej jest przede wszystkim konsekwencją istotnych zaniedbań w dzieciństwie.

Próchnica jest chorobą zakaźną i z uwagi na najszerszy zasięg występowania zaliczana jest do chorób społecznych. Szczególnie intensywnie rozwija się u dzieci i młodzieży.

W zapobieganiu próchnicy kluczowym elementem jest dbałość o higienę jamy ustnej, która przejawia się w:

  • Prawidłowym szczotkowaniu zębów, 
  • Racjonalnym odżywianiu, 
  • Uzupełnianiu związków fluoru i substancji niezbędnych do budowy tkanek zęba, 
  • Wczesnym wykrywaniu i leczeniu ubytków.

Lakowanie - Na tylnych zębach znajdują się bruzdy, które warto zabezpieczyć przed próchnicą wykonując zabieg lakowania. Po odpowiednim przygotowaniu zęba, nakładany jest preparat do lakowania, który zostaje utwardzony przy pomocy specjalnej lampy. Zabieg jest bezbolesny, szczególnie polecany jest u dzieci po pojawieniu się pierwszych zębów stałych.

Diagnostyka - RTG

Nowoczesny cyfrowy aparat pantomograficzny GXDP-800 amerykańskiej firmy GENDEX gwarantuje minimalną dawkę promieni RTG i bardzo wysokiej jakości wykonywanych zdjęć.Zdjęcia można wykonać w godzinach pracy Centrum Medycznego, bez wcześniejszej rejestracji, po okazaniu skierowania. 

Uwaga! 

Kobiety w ciąży lub podejrzewające ciąże, proszone są o powiadomienie o swoim stanie technika RTG.

Wykonujemy zdjęcia RTG:

  • pantomograficzne, 
  • cefalometryczne,
  • nosogardła,
  • punktowe (pojedynczych zębów),
  • tomografię wolumetryczną,
  • 3D zębów oraz zatok.

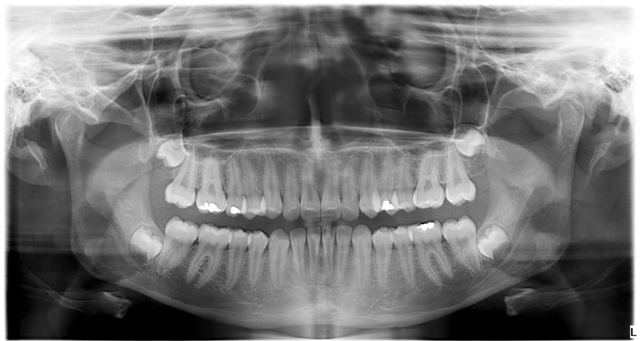
Zdjęcie pantomograficzne

Pantomogram to przeglądowe zdjęcie całego uzębienia, obejmujące również stawy skroniowo-żuchwowe oraz zatoki szczękowe. Wykonuje się je przed rozpoczęciem leczenia w celu postawienia trafnej diagnozy i wyboru najodpowiedniejszej metody leczenia, a także jest niezbędne m.in. przed leczeniem ortodontycznym i zabiegami chirurgicznymi w obrębie jamy ustnej oraz dobór odpowiednich uzupełnień protetycznych.

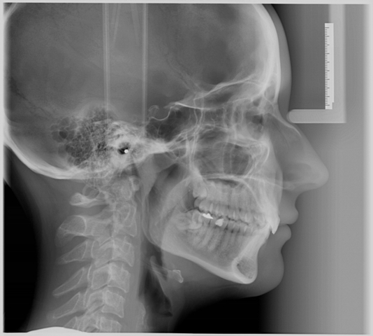
Zdjęcie cefalometryczne

służy do obrazowania części twarzowej czaszki, która uwidacznia struktury kostne, a także tkanki miękkie (zarys nosa, warg itp.) oraz zatoki przynosowe, co pozwala na wybór optymalnego aparatu ortodontycznego.


Zdjęcie nosogardła

 czyli rentgen tylnej części jamy nosowej i gardła, wykonuje się w celu oceny struktur anatomicznych tej okolicy. Badanie to znajduje zastosowanie przede wszystkim w diagnostyce przerostu migdałka gardłowego (tzw. trzeciego migdałka) – szczególnie u dzieci, u których podejrzewa się problemy z oddychaniem, chrapanie lub nawracające infekcje. Jest również pomocne w przypadku nawykowego oddychania przez usta, przewlekłych stanów zapalnych nosa i gardła, zaburzeń drożności dróg oddechowych, nieprawidłowości rozwojowych i anatomicznych, a także przy planowaniu zabiegów laryngologicznych oraz w diagnostyce zmian nowotworowych tej okolicy.


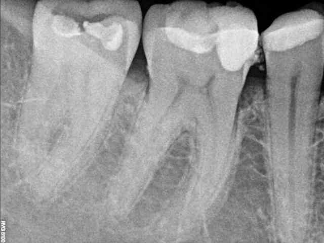
Zdjęcie punktowe

to precyzyjne badanie radiologiczne wykonywane w celu oceny jednego konkretnego zęba lub jego najbliższego otoczenia. Pozwala ono na bardzo dokładne zobrazowanie korony, korzenia zęba, ozębnej oraz kości wokół wierzchołka korzenia.


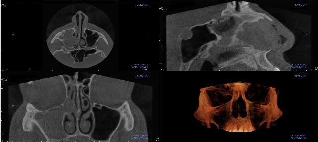
Tomografia

to zaawansowane badanie obrazowe, które wykonuje się m.in. w diagnostyce zębów oraz zatok przynosowych. Dostarcza bardzo szczegółowych danych, które mogą być cyfrowo przetworzone na trójwymiarowe obrazy. Jest wyjątkowo przydatna we współczesnej endodoncji, niezbędna w planowaniu leczenia implantologicznego oraz projektowaniu uśmiechu w protetyce stomatologicznej.